การแบ่งเกรดตัวอ่อน สำหรับทำเด็กหลอดแก้ว - IVF Embryo Grading

IVF Embryo Grading: Steps, Success rates

Embryo grading is a procedure that aids in selecting and evaluating the quality of embryos for in vitro fertilization. IVF specialists usually perform grading on days three

IVF Embryo Grading

Embryo grading is a procedure that aids in selecting and evaluating the quality of embryos for in vitro fertilization. IVF specialists usually perform grading on days three and five following oocyte retrieval and fertilization to determine the embryo quality and the optimal timing for its transfer.

Ivf Embryo Grading Banner 3

Day-3 or Cleavage Stage Embryo

At this point, the cells within the embryos are actively dividing, but the size remains the same as an unfertilized egg. An embryologist will examine their morphology or structure and assign a grade based on the number of cells and their appearance.

  • At the cleavage stage

At the cleavage stage, the number of cells is the best indicator of its potential. The ideal cell number of a day-3 embryo is between 6-10 cells. An eight or more cells embryo has a higher chance of successful pregnancy. Nevertheless, some with 3-6 cells can also develop into healthy fetuses. 

  • Embryo’s cell appearance

Grading an embryo based on its constituent cell appearance is more challenging than cell number, subject to the opinion of each embryologist and given a grade of A, B, C, and D, A being the best. A high-grade embryo has cells of fairly uniform size, with less than 20% fragmentation. Fragmentation is the lost cytoplasmic content from the dividing cells; excessive loss compromises optimal cellular function.

In addition to cell size and fragmentation, IVF specialists also look at other factors, such as: 

    • Compaction: Is there evidence of cell compaction -- when cells start to adhere tightly to one another --usually occurring on day 4, and indicating readiness for the subsequent stage of blastocyst formation?
    • Cytoplasmic pitting: Are there indentations or depressions in the cell contents? However, more studies on this subject are necessary.
    • Vacuoles: Are there fluid-filled pockets within the cells?
      In conclusion, ideal day-3 embryos should have eight cells, a Grade 1 appearance, and less than 20% fragmentation.

Ivf Embryo Grading Banner 2

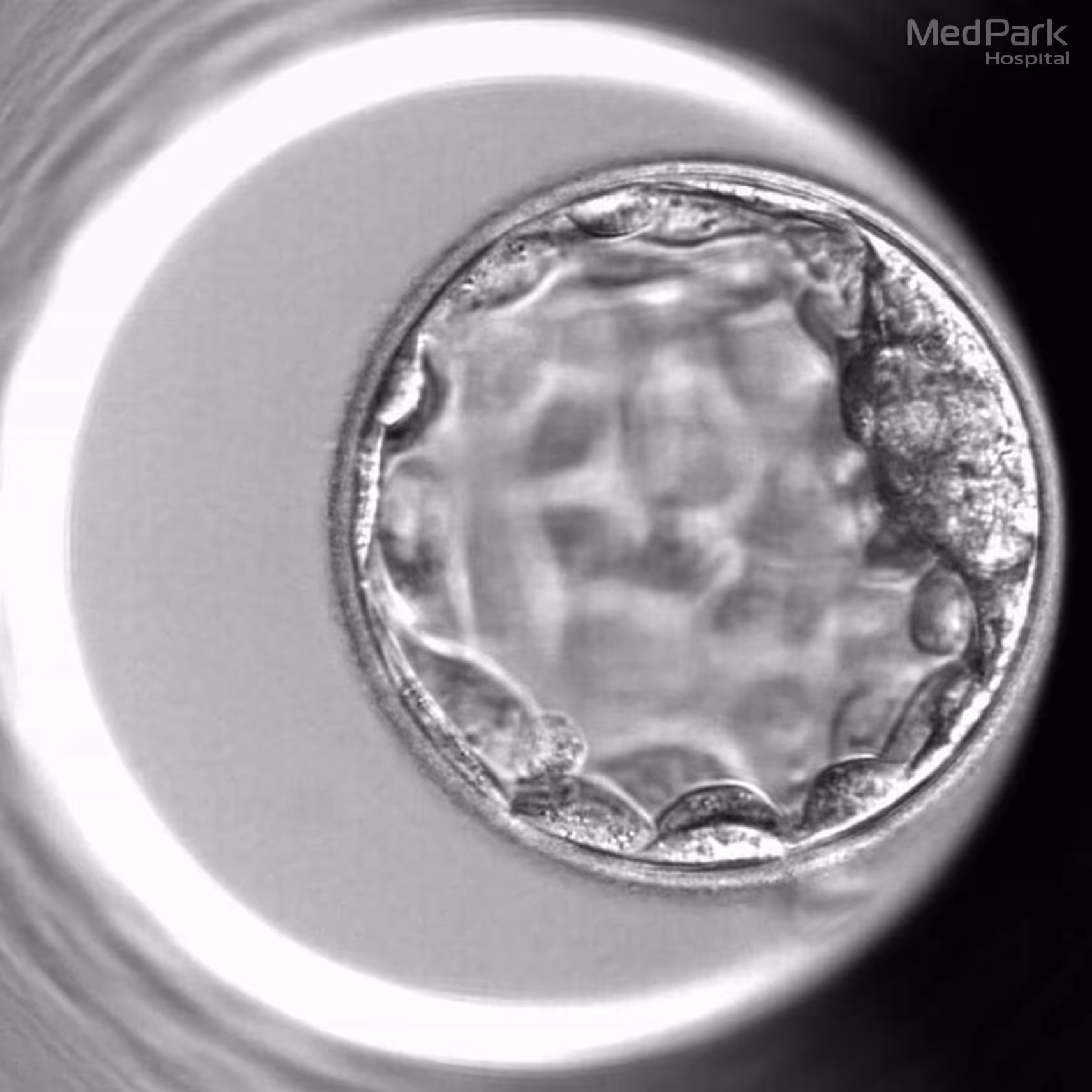
Day-5 Embryo or Blastocyst

At this stage, the inner cell mass (ICM), which will develop into the fetus, and the trophectoderm epithelium (TE), which will become the placenta and other tissues necessary for pregnancy, are formed. The zona pellucida (ZP), the outer protective shell, is ready to break open for the step of implantation in the uterus. The grading system for Day 5 Embryos depends on blastocyst expansion, inner cell mass, and trophectoderm epithelium quality.

  • Blastocyst Stage of Expansion

The blastocoel, the fluid-filled cavity within the developing embryo, will be assessed and graded as a number ranging from 1 to 6, with 6 indicating the most advanced expansion.

Grade 1: Early blastocyst - The volume of blastocoel is less than half of the embryo. 
Grade 2: Blastocyst – The volume of blastocoel is more than half of the embryo.
Grade 3: Full Blastocyst – The blastocoel fills the embryo.
Grade 4: Expanded Blastocyst – The blastocoel is larger than the embryo. ZP is thinning.
Grade 5: Hatching Blastocyst – TE is bursting through the ZP.
Grade 6: Hatched Blastocyst – TE completely burst through the ZP.

  • Inner Cell Mass (ICM) Quality

The ICM is the group of cells within the blastocyst that eventually forms the fetus. The grading scale for ICM quality uses the letters A, B, and C, with A representing the best quality and C the lowest.

Grade A: Many tightly packed and well-defined cells, indicating high potential for successful implantation and fetal development.
Grade B: Some loosely packed or slightly less defined cells.
Grade C: Few cells or disorganized ICM, suggesting lower potential for successful implantation.

  • Trophectoderm Epithelium (TE) Quality

The TE is the outer layer of cells in the blastocyst that becomes the placenta and other pregnancy-related tissues. Its grading system also uses the letters A, B, and C.  

Grade A: Many tightly packed cells, indicating a high potential for successful implantation and fetal development.
Grade B: Cells stay loosely together. 
Grade C: Few cells, poorly formed layer, suggesting lower potential for successful implantation.

A day-5 embryo with a 5AA grading indicates that the TE of a blastocyst is bursting through the ZP and tightly packed cells of ICM and TE, suggesting a highly favorable embryo for successful implantation and further development.

Ivf Embryo Grading Banner 4

Day-5 Embryo or Blastocyst

Pregnancy success rates by embryo grading

Pregnancy success rate prediction by embryo grading is not straightforward, as a high-scored embryo may not have a successful conception, and one with a low-scored may continue to grow into a high-scored. There are still uncertainties and other variables to consider including:

  • Embryo development: After the initial grading, embryos can continue to develop. For instance, an ICM initially graded as C may continue to grow and improve to an A grade within a day, or a grade 1 expansion stage can progress to a grade 6 within a day. Embryo development is not static; after the initial grading, the quality of embryos can improve.
  • Grading is not a guarantee for success: Though higher grades correlate with better pregnancy rates and more live births, lower grading does not preclude successful outcomes and the birth of healthy children.
  • Variability and uncertainties: Embryo grading is a tool for assessing limited aspects of embryo quality, but it does not account for all factors that can influence successful implantation and pregnancy, such as metabolomics, which may potentially alter future grading systems and require more studies.

Even though embryo grading is a method to evaluate the quality of embryos, the individual pregnancy outcome can vary. Therefore, one should account for personal situations, maintain optimism, and be hopeful.


We're here to provide a second opinion consultation, ensuring your confidence in every step of the IVF treatment process.

Article by

  • Dr Pimpagar Chavanaves
    Dr Pimpagar Chavanaves Infertility and Reproductive Gynecologist
  • Lalita Udomsapsanti
    Lalita Udomsapsanti Clinical Embryologist

Published: 11 Aug 2023

Related Doctors

  • Link to doctor
    Assoc.Prof.Dr Areephan Sophonsritsuk

    Assoc.Prof.Dr Areephan Sophonsritsuk

    • Obstetrics & Gynecology
    • Reproductive Endocrinology
    Obstetrics and Gynecology, Gynecologic Oncology
  • Link to doctor
    Dr Pimpagar Chavanaves

    Dr Pimpagar Chavanaves

    • Obstetrics & Gynecology
    • Menopause
    • Reproductive Endocrinology
    Infertility, Menopause, Fertility Preservation, Reproductive Endocrinology
  • Link to doctor
    Dr Thanapob Bumphenkiatikul

    Dr Thanapob Bumphenkiatikul

    • Obstetrics & Gynecology
    • Reproductive Endocrinology
  • Link to doctor
    Assist.Prof.Dr Porntip Sirayapiwat

    Assist.Prof.Dr Porntip Sirayapiwat

    • Obstetrics & Gynecology
    • Reproductive Endocrinology
    Infertility, Fertility Preservation, Reproductive Endocrinology, Gynecologic Endoscopic Surgery
  • Link to doctor
    Dr Punkavee Tuntiviriyapun

    Dr Punkavee Tuntiviriyapun

    • Obstetrics & Gynecology
    • Reproductive Endocrinology
    Reproductive Endocrinology, Obstetrics and Gynecology, Infertility, Fertility Preservation, Preimplantation Genetic Testing
  • Link to doctor
    MedPark Hospital Logo

    Dr Sirisuk Ouitrakul

    • Obstetrics & Gynecology
    • Reproductive Endocrinology
  • Link to doctor
    MedPark Hospital Logo

    Dr Piphat Jongkolsiri

    • Obstetrics & Gynecology
    • Reproductive Endocrinology
    Reproductive Endocrinology, Obstetrics and Gynecology
  • Link to doctor
    Dr Viwat Chinpilas

    Dr Viwat Chinpilas

    • Obstetrics & Gynecology
    • Reproductive Endocrinology
    Obstetrics and Gynecology, Reproductive Endocrinology
  • Link to doctor
    Assoc. Prof. Dr Chanakarn Suebthawinkul

    Assoc. Prof. Dr Chanakarn Suebthawinkul

    • Obstetrics & Gynecology
    • Reproductive Endocrinology
    Reproductive Endocrinology, Infertility, Fertility Preservation, Obstetrics and Gynecology
  • Link to doctor
    Prof.Dr Nares Sukcharoen

    Prof.Dr Nares Sukcharoen

    • Obstetrics & Gynecology
    • Reproductive Endocrinology
    Reproductive Endocrinology
  • Link to doctor
    Dr Chayanis Apirakviriya

    Dr Chayanis Apirakviriya

    • Obstetrics & Gynecology
    • Reproductive Endocrinology
    Obstetrics and Gynecology, Reproductive Endocrinology
  • Link to doctor
    Assoc.Prof.Dr Suphakde Julavijitphong

    Assoc.Prof.Dr Suphakde Julavijitphong

    • Obstetrics & Gynecology
    • Reproductive Endocrinology
    Obstetrics and Gynecology, Reproductive Endocrinology
  • Link to doctor
    MedPark Hospital Logo

    Dr Piyaphan Punyatanasakchai

    • Obstetrics & Gynecology
    • Reproductive Endocrinology
  • Link to doctor
    Assoc. Prof. Dr Wisan Sereepapong

    Assoc. Prof. Dr Wisan Sereepapong

    • Obstetrics & Gynecology
    • Reproductive Endocrinology
    Reproductive Endocrinology
  • Link to doctor
    Dr Sarwinee Ratchanon

    Dr Sarwinee Ratchanon

    • Obstetrics & Gynecology
    • Reproductive Endocrinology
    Obstetrics and Gynecology, Reproductive Endocrinology, Gynecologic Endoscopy