รีวิว ส่องกล้องทางเดินอาหาร ตัดติ่งเนื้อร้าย ก่อนกลายเป็น มะเร็งลำไส้ใหญ่ - Review Gastroscopy & Colonoscopy

Review Gastroscopy & Colonoscopy: Preventive Polyp Removal to Avoid Cancer.

MedPark Hospital prioritizes gastrointestinal endoscopic screening and utilizes DeepGI, an advanced gastrointestinal endoscopy system enhanced by AI, developed by Thai professors.

Share

Choose the content to read


Each year, gastric and colorectal cancers rank among the leading causes of cancer-related deaths worldwide. According to the Ministry of Public Health's 2023 statistics, colorectal cancer is the third most common cancer in men, claiming up to 900,000 lives annually. Among women, it is the third leading cause of cancer mortality, following breast and lung cancer. Alarmingly, the incidence of new cases continues to rise steadily each year.

Both gastric and colorectal cancers are most common in individuals over the age of 50 and those with risk factors such as heavy alcohol consumption, a sedentary lifestyle, or a family history of gastric or colorectal cancer. Everyone can lower their risks of cancer with regular screenings, especially gastrointestinal endoscopy, which allows for early detection and treatment. This approach substantially reduces disease severity, improves treatment success rates, and enhances survival.

Gastrointestinal endoscopy, utilizing advanced technologies, is the preferred method for screening gastrointestinal cancers due to its enhanced precision, accuracy, and safety. This technique readily detects polyps in the stomach and lower intestines. The procedure is of two main types of examination:

  • Gastroscopy
  • Colonoscopy

To promote health and reduce the risk of gastrointestinal cancer, the Gastrointestinal and Liver Center at MedPark Hospital recommends regular gastrointestinal endoscopy screening every five years for individuals at risk. These include those with a family history of gastric or colorectal cancer, recurrent abdominal pain or bloating, diarrhea alternating with constipation, blood in the stool, vomiting blood, unexplained abdominal pain, or those aged 45–50 and older.

MedPark Hospital prioritizes gastrointestinal endoscopic screening and utilizes DeepGI, an advanced gastrointestinal endoscopy system enhanced by AI, developed by Thai professors. This cutting-edge technology serves as a virtual assistant to physicians, detecting all types of polyps in the stomach and intestines and analyzing them in real-time. With its ability to differentiate and promptly alert physicians to neoplastic lesions during the procedure, DeepGI achieves an impressive accuracy rate of 90%. The process is fast, safe, and painless.

If you're curious about the gastrointestinal endoscopy screening process, including its pain level and result accuracy, please read the review here.

*The DeepGI innovation is the collaborative research and development between the Faculty of Engineering at Chulalongkorn University and the Excellence Center for GI Endoscopy at King Chulalongkorn Memorial Hospital, the Thai Red Cross Society.
It is being implemented at King Chulalongkorn Memorial Hospital and tested in several partner hospitals, including MedPark Hospital.

Why choose MedPark Hospital for your gastroscopy and colonoscopy?

Review: Gastroscopy & Colonoscopy at MedPark Hospital

  • Our endoscopic procedures, conducted by expert gastroenterologists skilled in gastroscopy and colonoscopy, achieve an exceptional success rate of 98–99% for full-length colonic scope insertion, surpassing the standard success rate of 95%.
  • Enhance the detection and identification of neoplastic polyps with artificial intelligence (AI). The DeepGI innovation can significantly improve the detection rate of adenomas—the precursors of colorectal cancer—by up to 55%, compared to the average detection rate of 25%. (For every 1% increase in adenoma detection, the risk of developing colorectal cancer decreases by 3%.) During endoscopy, the AI performs real-time analysis of polyps and promptly alerts the doctor to the presence of malignancy. This cutting-edge technology boasts an impressive accuracy rate of up to 90%.
  • At MedPark, meticulous attention is given to colon preparation, as high-quality preparation significantly enhances the likelihood of detecting dangerous polyps. A registered nurse supervises each step of colon preparation, offering personalized instructions, preparing medications, and assessing bowel readiness to ensure optimal conditions for endoscopic examination.
  • For a colonoscopy requiring general anesthesia, an anesthesiologist closely monitors the patient throughout the entire process—from preparation to a safe and complete recovery.
  • The Gastrointestinal and Liver Center provides a clean, safe, and relaxing environment with extensive amenities. The facility is thoughtfully designed with interconnected private colon preparation rooms, endoscopy suites, and recovery areas, ensuring seamless navigation. This layout enhances workflow efficiency for medical staff while providing exceptional comfort and convenience for patients.
  • Thorough colon preparation significantly increases the detection rate of polyps. At MedPark, the colon preparation rooms are thoughtfully designed with en suite bathrooms and comprehensive amenities to meet the needs of every patient. Options include private preparation rooms, family-friendly preparation rooms, and wheelchair-accessible facilities. Additionally, the recovery rooms are clean, safe, and closely supervised by registered nurses, ensuring optimal care after endoscopic procedures.
  • If abnormalities or malignancies are detected, the doctor will perform a comprehensive evaluation in collaboration with medical specialists and a multidisciplinary team, ensuring timely treatment, maximizing the chances of a full recovery, and enabling a return to a quality life.

Review: gastroscopy and colonoscopy with DeepGI at MedPark Hospital: convenient and painless

1. Make an appointment 

You can make an appointment through multiple channels, including:

  • Call 02-023-3333 to inquire about details and schedule an appointment with our Call Center.

My MedPark App: Manage your appointments with ease

  • My MedPark App: An application for easy appointment scheduling, viewing doctors' availability, and setting reminders in your smartphone calendar
  • Line Official: Medpark Hospital: Inquire about package details and make appointments via chat.

Stay updated on promotional packages by following the hospital's social media channels, including Facebook: MedPark Hospital and Instagram: medpark.thailand.

2. Patient registration (for new patients) and appointment confirmation

Inform our staff about your appointment at the nursing counter

New patients who have never registered with our hospital can pre-register by contacting our Call Center or registration counter on the G Floor. (It is advisable to arrive approximately 30 minutes before your appointment.)

Returning patients with existing medical records should proceed to the Gastrointestinal and Liver Center on the 7th floor, Counter A, for assistance.

Provide information about gastrointestinal endoscopy

After you provide your name and appointment time, a nurse will explain the endoscopic procedure in detail. Patients are encouraged to ask questions and voice concerns for better understanding.

3. Initial health assessment by a doctor

Medical history evaluation by a gastroenterologist

All patients must undergo an initial health assessment by a doctor before the procedure. The doctor will conduct a physical examination, review the patient’s medical history, and inquire about their family health history to screen for potential risks of gastrointestinal cancers.

Patients can undergo gastroscopy on the same day as their initial health assessment, as long as they are eligible and have followed fasting guidelines.

Doctors will schedule a separate appointment for colonoscopy patients to ensure proper bowel preparation for a clean colon. A well-prepared bowel allows the doctor to visualize abnormalities, like mucosal lesions, polyps, or other pathologies. Patients will be instructed to follow a low-residue diet, consuming easily digestible, fiber-free foods such as porridge, soup, or soy milk while avoiding all fruits and vegetables. Doctors typically prescribe laxatives for patients to take at bedtime.

4. Vital sign assessment by a registered nurse

Basic vital sign assessment before gastrointestinal endoscopy

On the endoscopy day, a nurse will check the patient's vital signs—blood pressure, pulse, respiratory rate, temperature, and oxygen saturation—to ensure they are physically prepared for the procedure.

Evaluate the physical readiness before gastrointestinal

5. Colon preparation before colonoscopy

A colon preparation room accessible by wheelchair is safe and spacious

The secluded colon preparation area in the back of the Gastrointestinal and Liver Center includes several private rooms of varying sizes, each equipped for effective colon cleansing.

The room featured in today’s review is a compact private room with an en-suite bathroom and a comfortable sofa. Patients can relax, watching their favorite series while waiting for colon evacuation.

Drink laxative solution for optimal colon preparation

After donning the hospital gown and storing their personal belongings in a locker, patients will periodically sip two large bottles of laxatives within a time frame. The nurse will explain how to observe the characteristics of the stool and assess whether the stool has reached the desired clarity, indicating the cleansing of the colon is adequate according to defined criteria.

The colon preparation process typically takes 2-3 hours. How long it takes depends on the bowel readiness of each person. A nurse stationed near the colon preparation room offers ongoing support and guidance.

6. Prepare for intravenous access and anesthesia (for colonoscopy)

Once the colon is thoroughly cleansed and meets the required standards, the patient will move to a preparation area for the colonoscopy.

An anesthesiologist explains the anesthesia procedure

For a colonoscopy performed with the patient under anesthesia, an anesthesiologist will explain the anesthesia procedure and closely monitor the patient throughout the procedure until the patient fully regains consciousness.

7. Colonoscopy by a gastroenterologist

Gastrointestinal Endoscopic Unit

At MedPark Hospital, we offer 3 types of gastrointestinal endoscopy.

  • Gastroscopy involves inserting an endoscope through the mouth to visualize the physical condition of the esophagus, stomach, and the upper part of the small intestine. The procedure typically takes about 30 minutes.

Colonoscopy by a gastroenterologist

  • A colonoscopy is performed under anesthesia before the gastroenterologist inserts an endoscope through the rectum to examine the entire colon for malignant polyps. The procedure takes about 45 minutes.
  • Gastroscopy and colonoscopy provide comprehensive screening for gastrointestinal cancers. It takes approximately one hour.

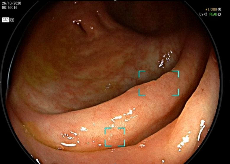
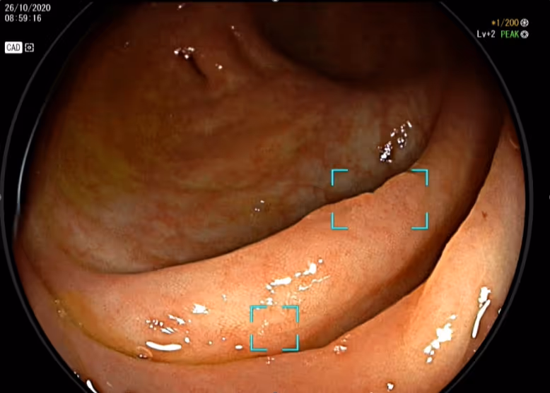
An example of DeepGI endoscopy, enhanced with AI technology, which assists physicians in detecting and alerting them to malignant polyps

At the MedPark Hospital Gastrointestinal and Liver Center, we employ the DeepGI AI tool to assist doctors in detecting, analyzing, and providing real-time alerts when malignant polyps are present during a colonoscopy. This AI-powered technology boasts an accuracy rate of up to 90%, making it an effective tool for screening early colorectal cancer.

8. Recovery and awaiting results

Recovery room following the colonoscopy

A colonoscopy is typically performed under anesthesia to ensure optimal comfort and procedural efficiency. When the procedure is over, the patient will be transferred to the recovery room to recover from the effects of anesthesia. The anesthesiologist and nurse anesthetist will closely monitor the patient throughout the recovery period, which typically takes 1 to 2 hours, after which the patient can change into their attire and discuss the examination results with the doctor.

9. Review the endoscopic findings with the gastroenterologist

Review the gastrointestinal findings by the gastroenterologist

The doctor will go over the examination results with you in detail. If the examination detects no abnormalities, the patient can return home immediately with an official report.
In cases of finding polyps or other abnormalities, the doctor will schedule a follow-up examination to thoroughly investigate the underlying causes to ensure timely and appropriate treatment, which is pivotal for effectively reducing the risk of developing severe medical conditions.


What is gastrointestinal endoscopy?

Gastrointestinal Endoscopy - การส่องกล้องระบบทางเดินอาหาร

Gastrointestinal endoscopy is a diagnostic procedure for the examination of two key sections of the digestive tract:

  • Gastroscopy performed to inspect the esophagus, stomach, and duodenum
  • Colonoscopy to examine the colon and rectum

During the gastrointestinal endoscopy, the doctor will insert an endoscope, a small, flexible tube that can bend to conform with the meandering course of the digestive tract or colon. The endoscope is equipped with a high-definition 4K camera and a light source at its tip, enabling the visualization of the internal surface of hallowed organs with exceptional clarity and facilitating the detection of abnormalities such as polyps, gastric ulcers, or bleeding sites with remarkable clarity. Furthermore, endoscopy with integrated artificial intelligence (AI) software enhances diagnostic capabilities. The AI system can identify and alert physicians in real-time to the site of abnormal polyps, achieving an impressive accuracy of up to 90%.

Why are gastroscopy and colonoscopy important?

Gastrointestinal endoscopy, which includes the examination of the esophagus, stomach, duodenum, colon, and rectum, is an effective screening tool for gastric and colorectal cancers. It can detect abnormalities, such as gastritis, gastric ulcers, Helicobacter pylori infections, intestinal bleeding, and colorectal lesions with vivid clarity.

Who should undergo gastroscopy and colonoscopy?

  • Individuals aged 45–50 and older should undergo screening every 5 years, even without symptoms.
  • Those with a family history of gastrointestinal cancer or a prior diagnosis of polyps in the stomach or colon.

What are the symptoms warranting gastrointestinal endoscopy?

If you or someone you know has gastrointestinal symptoms like loss of appetite, difficulty swallowing, heartburn, unexplained abdominal pain, frequent bloating, alternating constipation and diarrhea, vomiting blood, or bloody stool, consult a specialist for early diagnosis and prompt treatment.

Where should you have a gastroscopy or colonoscopy?

For those contemplating gastrointestinal cancer screening through endoscopy, choosing the right facility is crucial. Key factors to consider include:

  • The procedure should be conducted by a highly experienced gastroenterologist skilled in endoscopy. Seek specialists with a success rate exceeding 95% for all-the-way scope insertion into the colon and a polyp detection rate above 25% in the stomach or colon.
  • The endoscopy system should offer high-resolution imaging and be integrated with AI technology to enhance diagnostic precision and assist in the detection and analysis of polyps.
  • An anesthesiologist should be present and provide close monitoring during procedures involving anesthesia.
  • A registered nurse providing meticulous care and guidance through every step of the gastrointestinal endoscopy screening process, demonstrating attention to detail, a thorough understanding, and a strong emphasis on proper colon preparation.
  • Clean, private, and relaxing colon preparation rooms equipped with necessary amenities and staffed by attentive registered nurses and personnel to assist you with compassionate care.
  • If abnormalities are detected, the facility should provide access to a multidisciplinary team of specialists for comprehensive and timely treatment. These ensure patients receive condition-specific care, supporting a swift recovery and maintaining a high quality of life throughout the treatment.

A gastroenterologist at MedPark Hospital

What does the GI endoscopy package at MedPark assess?

Gastrointestinal endoscopy at MedPark is performed by an experienced gastroenterologist specializing in gastroscopy and colonoscopy. The cutting-edge DeepGI technology assists in detecting and screening abnormal polyps with an impressive accuracy rate of 90%.

Abnormalities found during the procedure can be removed or biopsied for detailed analysis. Patients can be promptly referred to specialists and a multidisciplinary team for comprehensive treatment, ensuring timely intervention and optimal care to help them quickly regain a high quality of life.

MedPark offers three tailored gastrointestinal endoscopy packages as follows:

For your convenience, please schedule an appointment in advance by contacting the Gastrointestinal and Liver Center, Counter A, 7th Floor, MedPark Hospital, from 8:00 AM to 8:00 PM at 02-023-3333. Alternatively, you can make an appointment through the My MedPark app (download here).

•    App Store
•    Google Play Store

Related Packages


Article by

Published: 21 Jan 2025

Share

Related Doctors

  • Link to doctor
    Dr Waraporn Panjawong

    Dr Waraporn Panjawong

    • Gastroenterology & Hepatology
    General Gastrointestinal Disorders, Colorectal Screening, Endoscopic Ultrasound (EUS), Endoscopic Retrograde Cholangiopancreatography (ERCP), Gastroesophageal Reflux Disease (GERD)
  • Link to doctor
    Dr Thaninee Prasoppokakorn

    Dr Thaninee Prasoppokakorn

    • Gastroenterology & Hepatology
    Gastroenterology and Hepatology
  • Link to doctor
    Dr Uraiwan Simapichet

    Dr Uraiwan Simapichet

    • Gastroenterology & Hepatology
    Gastroenterology and Hepatology
  • Link to doctor
    Dr Kittithat Tantitanawat

    Dr Kittithat Tantitanawat

    • Gastroenterology & Hepatology
    Gastroenterology and Hepatology, Pancreatic Cancer, Chronic Pancreatitis, Acute Pancreatitis, Metabolic Dysfunction - Associated Steatotic Liver Disease (MASLD), Obesity and Overweight, Colorectal Screening, Gastroesophageal Reflux Disease (GERD), Gastritis, Endoscopic Mucosal Resection (EMR)
  • Link to doctor
    Prof.Dr Sinn Anuras

    Prof.Dr Sinn Anuras

    • Gastroenterology & Hepatology
    Gastroenterology and Hepatology
  • Link to doctor
    Dr Santi  Kulpatcharapong

    Dr Santi Kulpatcharapong

    • Gastroenterology & Hepatology
    Gastroscopy and Colonoscopy, Gastroenterology and Hepatology, Colorectal Screening, Elevated Liver Enzymes, Non-alcoholic steatohepatitis (NASH), Alcoholic Hepatitis, Viral Hepatitis, Endoscopic Retrograde Cholangiopancreatography (ERCP), Gastrointestinal Bleeding, Chronic Abdominal Pain, Fibroscan, Liver Mass / Live Nodule / Liver Cyst, Gastroesophageal Reflux Disease (GERD), Liver Failure, Cirrhosis
  • Link to doctor
    Assoc.Prof.Dr Sawangpong Jandee

    Assoc.Prof.Dr Sawangpong Jandee

    • Gastroenterology & Hepatology
    Gastroenterology and Hepatology
  • Link to doctor
    Assoc. Prof. Dr Chonticha Auesomwang

    Assoc. Prof. Dr Chonticha Auesomwang

    • Gastroenterology & Hepatology
    Gastroenterology and Hepatology
  • Link to doctor
    Dr Panida Piyachaturawat

    Dr Panida Piyachaturawat

    • Gastroenterology & Hepatology
    Gastroscopy and Colonoscopy, Gastroenterology and Hepatology, Chronic Abdominal Pain, Chronic Constipation, Chronic and Acute Diarrhea, Endoscopic Retrograde Cholangiopancreatography (ERCP), Inflammatory Bowel Disease (IBD), Irritable Bowel Syndrome (IBS), Colorectal Screening, Endoscopic Ultrasound (EUS), Gastrointestinal Bleeding, Elevated Liver Enzymes, Viral Hepatitis, Non-alcoholic steatohepatitis (NASH), Enteroscopy, Fibroscan
  • Link to doctor
    Dr Sukawit Thongsri

    Dr Sukawit Thongsri

    • Gastroenterology & Hepatology
    Gastroenterology and Hepatology
  • Link to doctor
    Asst.Prof.Dr Siam Sirinthornpunya

    Asst.Prof.Dr Siam Sirinthornpunya

    • Gastroenterology & Hepatology
    Gastroenterology and Hepatology
  • Link to doctor
    Assoc.Prof.Dr.M.L. Taya Kitiyakara

    Assoc.Prof.Dr.M.L. Taya Kitiyakara

    • Gastroenterology & Hepatology
    General Gastrointestinal Disorders, Colorectal Screening, Helicobacter pylori (H. pylori), Chronic Abdominal Pain, Inflammatory Bowel Disease (IBD), Irritable Bowel Syndrome (IBS), Endoscopic Ultrasound (EUS), Diarrhea, Chronic and Acute Diarrhea, Endoscopic Retrograde Cholangiopancreatography (ERCP), Chronic Constipation, Abnormal Liver Funtion Test
  • Link to doctor
    Assoc.Prof.Dr Sathaporn Manatsathit

    Assoc.Prof.Dr Sathaporn Manatsathit

    • Gastroenterology & Hepatology
    Gastroenterology and Hepatology, Gastrointestinal Infection, Chronic Abdominal Pain, Chronic Constipation, Chronic and Acute Diarrhea, Diarrhea, Viral Hepatitis, Leaky Gut Syndrome, Liver Tumor, Elevated Liver Enzymes, Hemorrhoids, Inflammatory Bowel Disease (IBD), Irritable Bowel Syndrome (IBS), Dysphagia (Difficulty Swallowing)
  • Link to doctor
    Dr Yearnyong Jeangwirichaikull

    Dr Yearnyong Jeangwirichaikull

    • Gastroenterology & Hepatology
    General Gastrointestinal Disorders, Colorectal Screening, Endoscopic Retrograde Cholangiopancreatography (ERCP), Hepatomegaly, Jaundice, Cirrhosis
  • Link to doctor
    Dr Korpong Hungspreugs

    Dr Korpong Hungspreugs

    • Gastroenterology & Hepatology
    General Gastrointestinal Disorders, Colorectal Screening, Diarrhea, Chronic and Acute Diarrhea, Helicobacter pylori (H. pylori), Dysphagia (Difficulty Swallowing), Gastroesophageal Reflux Disease (GERD), Chronic Constipation, Dyspepsia, Bowel Habit Change
  • Link to doctor
    Dr Sureeporn  Jangsirikul

    Dr Sureeporn Jangsirikul

    • Gastroenterology & Hepatology
    Gastroscopy and Colonoscopy, Gastroenterology and Hepatology, Colorectal Screening, Gastroesophageal Reflux Disease (GERD), Chronic Abdominal Pain, Gastrointestinal Bleeding, Elevated Liver Enzymes, Biofeedback Therapy, Esophageal Motility Disorders, Esophageal pH Study, Helicobacter pylori (H. pylori), Gastric Emptying Time, Colonic Transit Time, Manometry
  • Link to doctor
    Dr Penprapai Hongsrisuwan

    Dr Penprapai Hongsrisuwan

    • Gastroenterology & Hepatology
    Gastroenterology and Hepatology, Gastroscopy and Colonoscopy, Colorectal Screening, Gastroesophageal Reflux Disease (GERD), Irritable Bowel Syndrome (IBS), Chronic Abdominal Pain, Gastrointestinal Bleeding, Hemorrhoids, Viral Hepatitis, Elevated Liver Enzymes, Cirrhosis, Fatty Liver Disease