Neurological Conditions With Corona Virus Med Park Hospital.jpg

7 ภาวะทางระบบประสาทที่พบบ่อย ในผู้ป่วยโควิด 19

อุบัติการณ์การติดเชื้อไวรัสโคโรนา 2019 เริ่มแพร่กระจายเป็นวงกว้างมากขึ้น นับตั้งแต่เริ่มพบเชื้อนี้ครั้งแรกในประเทศจีน ช่วงปลายปี 2562 ซึ่งส่งผลกระทบต่อปัญหาทางเดินหายใจเป็นหลัก

แชร์

อุบัติการณ์การติดเชื้อไวรัสโคโรนา 2019 เริ่มแพร่กระจายเป็นวงกว้างมากขึ้น นับตั้งแต่เริ่มพบเชื้อนี้ครั้งแรกในประเทศจีน ช่วงปลายปี 2562 ซึ่งส่งผลกระทบต่อปัญหาทางเดินหายใจเป็นหลัก แต่ต่อมาพบว่าเชื้อไวรัสโคโรนา 2019 นี้ สามารถทำให้ผู้ป่วยมีอาการแสดงอื่นๆร่วมด้วย โดยเฉพาะอาการทางระบบประสาทที่พบว่าสัมพันธ์กับอัตราการเสียชีวิตที่สูงขึ้น ทำให้มีการศึกษา รวบรวมเคสจากที่ต่าง ๆ ทั่วโลก เพื่อเป็นประโยชน์ทางด้านการแพทย์ในการป้องกันและรักษาอย่างทันท่วงที
ภาวะทางระบบประสาทที่พบในผู้ป่วยทิ่ติดเชื้อไวรัสโคโรนา 2019 นั้น มีหลากหลาย ได้แก่

1. สมองทำงานผิดปกติ (Encephalopathy)
ผู้ป่วยจะมีระดับการรู้สติลดลง จนโคม่าได้ และอาจมีอาการทางจิตเวชร่วมด้วย เช่น พฤติกรรมเปลี่ยน ภาวะหลงผิด เป็นต้น

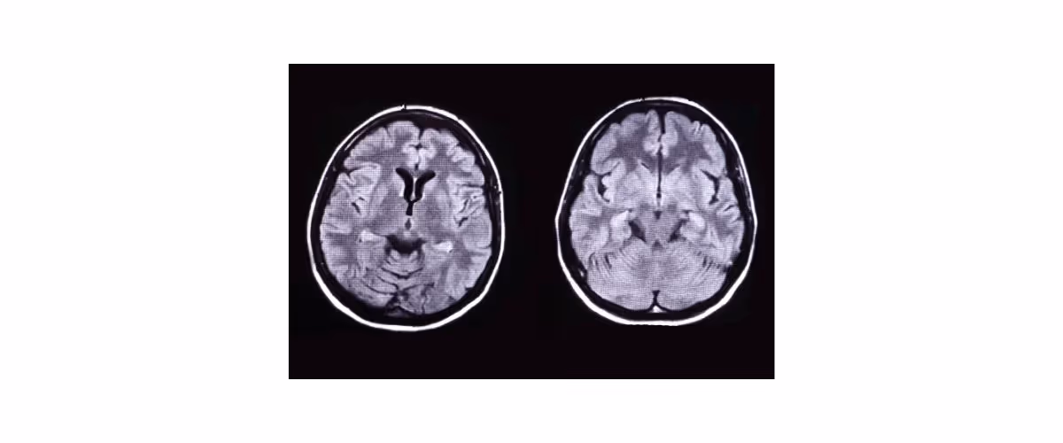
2. สมองอักเสบ (Encephalitis)/ ไขสันหลังอักเสบ (Myelitis)
อาการสมองอักเสบ ผู้ป่วยอาจมาด้วยระดับการรู้สติลดลง ซึมลง ปวดศีรษะ อาจมีไข้หรือไม่มีก็
ได้ อาการอื่นที่สามารถพบร่วมได้ ได้แก่ เส้นประสาทสมองผิดปกติ เดินเซ สั่น กระตุก หรือชักได้ การตรวจคลื่นไฟฟ้าสมองพบความผิดปกติได้ถึงร้อยละ 93 ในผู้ป่วยสมองอักเสบ ส่วนอาการของไขสันหลังอักเสบ นั้นผู้ป่วยจะมีอาการอ่อนแรง/ชาแขนหรือขา ขึ้นกับระดับของไขสันหลัง อาจมีปัญหาการกลั้นปัสสาวะหรืออุจจาระร่วมด้วย เดินเซ เป็นต้น

ดังนั้น การตรวจพบเร็วทำให้สามารถรักษาได้อย่างทันท่วงที เพื่อลดความพิการและอัตราการตายได้
3. สมองและไขสันหลังอักเสบหลังการติดเชื้อ (Acute disseminated encephalomyelitis and myelitis, ADEM)
มักเกิดตามหลังการติดเชื้อ ส่วนใหญ่ประมาณ 1-2 สัปดาห์ ผู้ป่วยจะมีอาการได้หลากหลาย เช่น กลืนลำบาก เสียงเปลี่ยน ระดับการรู้สติลดลง หรือชัก เป็นต้น ซึ่งอาการเหล่านี้จำเป็นต้องหาสาเหตุเพื่อแยกโรค เนื่องจากภาวะนี้เกิดจากปฏิกิริยาภูมิคุ้มกันของร่างกายในระดับรุนแรงหลังจากได้รับเชื้อ ทำให้มีรอยโรคในเนื้อสมองและไขสันหลังหลายตำแหน่ง แต่ไม่พบเชื้อในน้ำไขสันหลัง การรักษาจำเป็นต้องหายากดภูมิคุ้มกัน หรือบำบัดด้วยอิมมูโนโกลบูลิน

4. โรคหลอดเลือดสมอง (Stroke)/ อัมพฤกษ์-อัมพาต

พบว่าร้อยละ 6 ของผู้ป่วยที่ติดเชื้อไวรัสโคโรนา 2019 มีโรคหลอดเลือดสมองตามมา ผู้ป่วยจะมีอาการอ่อนแรงหรือชาครึ่งซีก ปากเบี้ยว พูดไม่ชัด เกิดขึ้นอย่างฉับพลัน โดยมักจะเกิดขึ้นหลังมีอาการทางระบบทางเดินหายใจประมาณ 10 วัน ซึ่งส่วนใหญ่สาเหตุมาจาก เส้นเลือดแดงในสมองตีบ จากระบบแข็งตัวของเลือดผิดปกติจากการติดเชื้อไวรัส มีบางส่วนสาเหตุมาจาก เส้นเลือดสมองแตกและเส้นเลือดดำในสมองอุดตันได้ ซึ่งส่วนใหญ่ผู้ป่วยกลุ่มนี้มักมีอายุเกิน 60 ปี และมีปัจจัยเสี่ยงของโรคหลอดเลือดสมองอยู่เดิม เช่นความดันโลหิตสูง เบาหวาน ไขมันในเลือดสูงและหลอดเลือดผิดปกติ การให้ยาละลายลิ่มเลือดป้องกันเส้นเลือดสมองอุดตันในผู้ป่วยที่ติดเชื้อไวรัสโคโรนา ยังต้องชั่งน้ำหนักระหว่างประโยชน์และโทษในผู้ป่วยเป็นราย ๆ ไป
5. แขนขาอ่อนแรงจากเส้นประสาทอักเสบ (Guillain-Barre syndrome)
อาการมักเกิดขึ้นในผู้ป่วยที่มีอาการทางระบบทางเดินหายใจอย่างรุนแรงจากติดเชื้อไวรัสโคโรนา 2019 ประมาณ 1 สัปดาห์ โดยผู้ป่วยจะมีอาการอ่อนแรงมากขึ้นเรื่อยๆ อาจเริ่มจากขาสองข้างก่อน แล้วลามมาที่แขน ซึ่งอาจจะมีอาการชาหรือไม่มีร่วมด้วยได้ บางรายอาจมีอาการกลืนลำบากหรือเส้นประสาทคู่ที่ 7 ผิดปกติ ทำให้ปากเบี้ยวร่วมด้วย หรือมีรายงานผู้ป่วยที่มาด้วยอาการเดินเซ มองเห็นภาพซ้อนได้เช่นกัน
ภาวะนี้สามารถนำไปสู่ความพิการได้ ดังนั้นจึงควรได้รับการวินิจฉัยและรักษาให้ทันท่วงที โดยการวินิจฉัยสามารถทำได้โดยการตรวจไฟฟ้าของกล้ามเนื้อและเส้นประสาท การส่งตรวจน้ำไขสันหลัง เป็นต้น การรักษาด้วยอิมมูโนโกลบูลิน พบว่าผู้ป่วย 12 ใน 15 รายมีอาการดีขึ้น

6. สูญเสียการได้กลิ่น (Anosmia) และสูญเสียการรับรส (Ageusia)
เป็นอาการที่พบบ่อยมากถึงร้อยละ 80 ในผู้ป่วยที่ติดเชื้อไวรัสโคโรนา 2019 ซึ่งแตกต่างจากไข้หวัดใหญ่ ซึ่งพบได้น้อยกว่า และนอกจากนี้ผู้ป่วยอาจไม่มีอาการทางระบบทางเดินหายใจร่วมด้วยได้ ซึ่งเป็นลักษณะที่ค่อนข้างจำเพาะต่อไวรัสโคโรนา 2019 นี้

7. ปวดศีรษะ/มึนศีรษะ
ในการศึกษาผู้ป่วยชาวอู่ฮั่น ประเทศจีนพบผู้ป่วยมีอาการปวดศีรษะร้อยละ 13 และมึนศีรษะได้ถึงร้อยละ 17 โดยลักษณะอาการปวดไม่ได้จำเพาะ

(รูปภาพมาจาก Ellul MA, Benjamin L, Singh B, Lant S, Michael BD, Easton A, et al. Neurological associations of COVID-19. The Lancet Neurology. 2020 Sep;19(9):767-83.)







เรียบเรียงโดย
พญ.จุฑาณัฐ ยศราวาส
แพทย์ผู้ชำนาญการด้านประสาทวิทยา
ประวัติแพทย์ คลิก



บรรณานุกรม

  1. Meppiel E, Peiffer-Smadja N, Maury A, Bekri I, Delorme C, Desestret V, et al. Neurologic manifestations associated with COVID-19: a multicentre registry. Clinical Microbiology and Infection. 2020 Nov
  2. Ellul MA, Benjamin L, Singh B, Lant S, Michael BD, Easton A, et al. Neurological associations of COVID-19. The Lancet Neurology. 2020 Sep;19(9):767-83.

เผยแพร่เมื่อ: 16 ก.พ. 2021

แชร์