รีวิว ส่องกล้องทางเดินอาหาร ตัดติ่งเนื้อร้าย ก่อนกลายเป็น มะเร็งลำไส้ใหญ่ - Review Gastroscopy & Colonoscopy

รีวิว ส่องกล้องทางเดินอาหาร ตัดติ่งเนื้อร้าย ก่อนกลายเป็น มะเร็งลำไส้ใหญ่

โรงพยาบาลเมดพาร์ค ให้ความสำคัญกับการส่องกล้องเพื่อตรวจคัดกรองระบบทางเดินอาหารเป็นอย่างมาก จึงได้มีการนำนวัตกรรม DEEP GI นวัตกรรมการส่องกล้องระบบทางเดินอาหารที่นำมาเชื่อมต่อกับระบบปัญญาประดิษฐ์ (AI)

แชร์

เลือกหัวข้อที่อ่าน


ในแต่ละปีมีผู้คนทั่วโลกเสียชีวิตด้วย มะเร็งกระเพาะอาหาร และมะเร็งลำไส้ใหญ่ สูงติดอันดับต้น ๆ สถิติของกระทรวงสาธารณสุขปี พ.ศ. 2566 พบว่า มะเร็งลำไส้ใหญ่ เป็นโรคมะเร็งที่พบมากเป็นอันดับ 3 ในเพศชาย มีจำนวนผู้เสียชีวิตต่อปีสูงถึง 900,0000 คน และยังเป็นสาเหตุของการเสียชีวิตสูงเป็นอันดับ 3 ในเพศหญิง รองจากมะเร็งเต้านม และมะเร็งปอด ในทุก ๆ ปี ยังมีแนวโน้มพบผู้ป่วยรายใหม่เพิ่มขึ้นอย่างต่อเนื่อง

โรคมะเร็งทั้ง 2 ชนิดนี้ พบมากในผู้ที่มีอายุ 50 ปีขึ้นไป รวมถึงผู้ที่มีความเสี่ยงต่าง ๆ เช่น นักดื่ม ผู้ที่ไม่ออกกำลังกาย หรือผู้ที่มีประวัติครอบครัวป่วยด้วยโรคมะเร็งกระเพาะอาหาร หรือมะเร็งลำไส้ใหญ่ แต่ทุกคนสามารถลดความเสี่ยงลงได้จาก การตรวจคัดกรองมะเร็ง ด้วยการส่องกล้องระบบทางเดินอาหาร เพราะการตรวจพบไว และรักษาทันที จะช่วยลดความรุนแรงของโรค เพิ่มโอกาสรักษาหาย และลดการเสียชีวิตได้สูงขึ้น

ปัจจุบันวิธีที่แพทย์นิยมใช้ในการคัดกรองโรคมะเร็งในระบบทางเดินอาหาร คือ การส่องกล้องระบบทางเดินอาหาร ซึ่งมีการนำเทคโนโลยีที่เพิ่มศักยภาพ มีความแม่นยำ และปลอดภัยสูง มาใช้ในการตรวจจับติ่งเนื้อที่อยู่ในกระเพาะอาหารและลำไส้ส่วนปลายได้ดี โดยแยกการตรวจออกเป็น 2 แบบหลัก ๆ คือ

  • การส่องกล้องกระเพาะอาหาร (Gastroscopy)
  • การส่องกล้องลำไส้ใหญ่ (Colonoscopy)

เพื่อให้ทุกคนมีสุขภาพแข็งแรง ห่างไกลจากมะเร็งในระบบทางเดินอาหาร ศูนย์ทางเดินอาหารและตับ โรงพยาบาลเมดพาร์ค แนะนำให้ผู้มีที่มีความเสี่ยง เช่น มีประวัติคนในครอบครัวป่วยด้วยมะเร็งกระเพาะอาหารหรือมะเร็งลำไส้ใหญ่ ปวดท้องหรือท้องอืดบ่อย ท้องเสียสลับท้องผูก อุจจาระเป็นเลือด อาเจียนเป็นเลือด ปวดท้องไม่ทราบสาเหตุ หรือมีอายุตั้งแต่ 45 - 50 ปีขึ้นไป ควรเข้ารับการตรวจคัดกรองระบบทางเดินอาหารด้วยการส่องกล้อง ทุก ๆ 5 ปี 

“โรงพยาบาลเมดพาร์ค ให้ความสำคัญกับการส่องกล้องเพื่อตรวจคัดกรองระบบทางเดินอาหารเป็นอย่างมาก จึงได้มีการนำนวัตกรรม DEEP GI นวัตกรรมการส่องกล้องระบบทางเดินอาหารที่นำมาเชื่อมต่อกับระบบปัญญาประดิษฐ์ (AI) ซึ่งพัฒนาร่วมกันโดยคนไทย* เข้ามาทำหน้าที่เป็นผู้ช่วยแพทย์ในการตรวจจับติ่งเนื้อทุกชนิดในกระเพาะอาหารและลำไส้ พร้อมทำการวิเคราะห์ติ่งเนื้อที่ตรวจพบได้แบบเรียลไทม์ สามารถแยกแยะและแจ้งเตือนแพทย์ที่ทำการส่องกล้องอยู่ได้ทันทีว่าตรวจพบชิ้นเนื้ออันตราย (Neoplastic) ซึ่งมีความแม่นยำสูงถึง 90% รู้ผลไว ปลอดภัย ไม่รู้สึกเจ็บ”

สำหรับผู้ที่สนใจโปรแกรมตรวจคัดกรองฯ หรืออยากทราบ ขั้นตอนการส่องกล้องตรวจระบบทางเดินอาหาร ว่ามีอะไรบ้าง ส่องกล้องเจ็บไหม ผลตรวจแม่นยำมากแค่ไหน มาอ่านรีวิวกันได้เลย

*นวัตกรรม DEEP GI เป็นการศึกษาและพัฒนาร่วมกันระหว่าง คณะวิศวกรรมศาสตร์ จุฬาลงกรณ์มหาวิทยาลัย และ ศูนย์ความเป็นเลิศทางการแพทย์ด้านการส่องกล้องระบบทางเดินอาหาร โรงพยาบาลจุฬาลงกรณ์ สภากาชาดไทย ปัจจุบันได้มีการนำมาให้บริการที่โรงพยาบาลจุฬาลงกรณ์ และทดสอบใช้งานในโรงพยาบาลพันธมิตรอีกหลายแห่ง หนึ่งในนั้น คือ โรงพยาบาลเมดพาร์ค

ทำไมต้อง ส่องกล้องทางเดินอาหาร และลำไส้ใหญ่ ที่เมดพาร์ค

ศูนย์ทางเดินอาหารและตับ โรงพยาบาลเมดพาร์ค - Review: Gastroscopy & Colonoscopy at MedPark Hospital

  • ส่องกล้องโดยแพทย์เฉพาะทางด้านการส่องกล้องระบบทางเดินอาหาร ที่มีความชำนาญในการส่องกล้องกระเพาะอาหารและลำไส้ใหญ่ มีประสบการณ์สูง และมีอัตราความสำเร็จในการนำกล้องเข้าไปได้ตลอดแนวลำไส้ใหญ่สูงถึง 98 - 99 % (จากอัตราความสำเร็จมาตรฐานอยู่ที่ 95%)
  • เพิ่มประสิทธิภาพในการตรวจจับและแยกแยะติ่งเนื้อที่เป็นชิ้นเนื้ออันตราย (Neoplastic) ด้วยปัญญาประดิษฐ์ (AI) ซึ่งนวัตกรรมการส่องกล้องระบบทางเดินอาหาร DEEP GI ที่นำมาให้บริการ สามารถเพิ่มศักยภาพในการตรวจพบติ่งเนื้อชนิด Adenoma ซึ่งถือเป็นขั้นเริ่มแรกของมะเร็งได้สูงถึง 55% จากค่ามาตรฐานเฉลี่ย 25% (ทุก ๆ การตรวจพบติ่งเนื้อ 1% จะช่วยลดความเสี่ยงการเกิดมะเร็งลำไส้ใหญ่ได้ 3%) นอกจากนี้ในขณะที่แพทย์กำลังส่องกล้อง AI จะวิเคราะห์ติ่งเนื้ออย่างละเอียดแบบเรียลไทม์ และแจ้งเตือนแพทย์ทันทีที่ตรวจพบติ่งเนื้ออันตราย มีความแม่นยำสูงถึง 90%
  • เมดพาร์คให้ความสำคัญกับขั้นตอนการเตรียมลำไส้เป็นอย่างมาก เพราะยิ่งเตรียมลำไส้ได้มีคุณภาพมากเท่าใด ก็จะเพิ่มโอกาสในการตรวจพบติ่งเนื้ออันตรายได้สูงขึ้น โดยทุกขั้นตอนของการเตรียมลำไส้ จะมีพยาบาลวิชาชีพเฉพาะทางฯ คอยให้คำแนะนำ เตรียมยา และเช็กความพร้อมของลำไส้ว่าสามารถเข้าสู่ขั้นตอนการส่องกล้องได้หรือไม่
  • กรณีที่มีการส่องกล้องลำไส้ใหญ่ที่จำเป็นต้องมีการใช้ยาสลบ ผู้เข้ารับการตรวจจะได้รับการดูแลอย่างใกล้ชิดโดยวิสัญญีแพทย์ ตั้งแต่ขั้นตอนการเตรียมตัวไปจนกระทั่งคนไข้ฟื้นตัวได้อย่างปลอดภัย 
  • ภายในศูนย์ทางเดินอาหารและตับ มีความสะอาด ปลอดภัย บรรยากาศผ่อนคลาย มีสิ่งอำนวยความสะดวกครบถ้วน มีการออกแบบห้องตรวจ ห้องเตรียมลำไส้แบบส่วนตัว ห้องส่องกล้อง และห้องพักฟื้น ให้เดินเชื่อมต่อถึงกันได้สะดวกง่ายดาย แพทย์และเจ้าหน้าที่ปฏิบัติงานได้คล่องตัว ผู้ใช้บริการได้รับความสะดวกสบาย
  • การเตรียมลำไส้ที่มีคุณภาพ จะช่วยเพิ่มอัตราการตรวจจับติ่งเนื้อได้สูงขึ้น โดยห้องเตรียมลำไส้ของเมดพาร์ค นอกจากจะออกแบบให้มีห้องน้ำในตัว ยังมีสิ่งอำนวยความสะดวกครบถ้วนเพื่อตอบโจทย์ความต้องการของผู้ใช้บริการทุกคน เช่น ห้องเตรียมลำไส้แบบส่วนตัว ห้องเตรียมลำไส้แบบครอบครัว หรือห้องเตรียมลำไส้สำหรับผู้ใช้วีลแชร์ นอกจากนี้ ยังมีห้องพักฟื้นหลังการส่องกล้องที่สะอาด ปลอดภัย อยู่ภายในการดูแลของพยาบาลวิชาชีพอย่างใกล้ชิด
  • หากตรวจพบสัญญาณผิดปกติ หรือชิ้นเนื้ออันตราย แพทย์จะมีการตรวจเพิ่มเติมอย่างละเอียด โดยทำงานร่วมกันเป็นทีมกับแพทย์เฉพาะทาง และสหวิชาชีพสาขาต่าง ๆ ที่มีความเกี่ยวข้อง เพื่อให้ผู้ป่วยได้รับการรักษาอย่างเหมาะสมในเวลาอันรวดเร็ว เพิ่มโอกาสหายขาด และช่วยให้สามารถกลับมาใช้ชีวิตตามปกติได้อย่างมีคุณภาพมากที่สุด

รีวิว ส่องกล้องทางเดินอาหาร และลำไส้ใหญ่ ด้วย DEEP GI รพ.เมดพาร์ค ตรวจง่าย ไม่เจ็บ

1. ทำนัดหมาย

ผู้ใช้บริการสามารถทำนัดหมายการตรวจฯ ได้หลายช่องทาง ได้แก่

  • โทร. 02-023-3333 สามารถสอบถามรายละเอียด และทำนัดหมายผ่านเจ้าหน้าที่ Call Center

แอปพลิเคชัน My MedPark จัดการนัดหมายแพทย์ง่าย ๆ ได้ด้วยตนเอง

  • My MedPark แอปพลิเคชันสำหรับผู้ใช้บริการโรงพยาบาล ที่สามารถตรวจสอบตารางออกตรวจของแพทย์ ทำนัดหมายพร้อมตั้งเตือนในปฏิทินส่วนตัวบนสมาร์ตโฟนได้ด้วยตนเอง
  • Line Official: Medpark Hospital สอบถามรายละเอียดแพ็กเกจ และทำนัดหมายผ่านข้อความแชท

นอกจากนี้ ยังสามารถติดตามการอัปเดตโปรโมชันแพ็กเกจต่าง ๆ ผ่านช่องทางสื่อโซเชียลมีเดียของโรงพยาบาลเมดพาร์ค เช่น Facebook: MedPark Hospital - โรงพยาบาลเมดพาร์ค หรือ Instagram: medpark.thailand ได้เช่นกัน

2. ทำประวัติ (สำหรับผู้ใช้บริการใหม่) และแจ้งนัด

แจ้งนัดหมายการใช้บริการที่เคาน์เตอร์พยาบาล

สำหรับผู้ใช้บริการใหม่ที่ยังไม่เคยทำประวัติคนไข้กับโรงพยาบาล สามารถติดต่อขอทำประวัติล่วงหน้า ผ่าน Call Center หรือเดินทางมาเปิดประวัติด้วยตนเอง ณ จุดลงทะเบียน ชั้น G (ควรเดินทางมาถึงก่อนเวลานัดหมายประมาณ 30 นาที)

ส่วนใครที่เคยใช้บริการกับทางโรงพยาบาลแล้ว สามารถติดต่อเข้ารับบริการที่ ศูนย์ทางเดินอาหารและตับ ชั้น 7 เคาน์เตอร์ A

แนะนำข้อมูลการส่องกล้องระบบทางเดินอาหาร

หลังจากแจ้งชื่อและเวลานัดหมายกับเจ้าหน้าที่แล้ว พยาบาลจะแจ้งข้อมูลทั้งหมดเกี่ยวกับการส่องกล้องให้ทราบอย่างละเอียด ผู้ใช้บริการสามารถซักถามข้อสงสัยได้อย่างเต็มที่

3. ตรวจสุขภาพเบื้องต้นโดยแพทย์

ซักประวัติโดยแพทย์เฉพาะทางด้านการส่องกล้องระบบทางเดินอาหาร

ผู้เข้ารับการตรวจทุกคน จำเป็นต้องเข้าพบแพทย์เพื่อทำการซักประวัติและตรวจสุขภาพเบื้องต้นก่อน โดยคุณหมอจะตรวจร่างกาย สอบถามประวัติสุขภาพ และประวัติสุขภาพของครอบครัว เพื่อคัดกรองความเสี่ยงของโรคมะเร็งในระบบทางเดินอาหาร

หากเลือกส่องกล้องกระเพาะอาหาร หลังตรวจสุขภาพเบื้องต้นแล้ว ถ้าร่างกายมีความพร้อม มีการงดน้ำงดอาหารมาเรียบร้อยแล้ว ก็สามารถเข้ารับการส่องกล้องได้ในวันเดียวกัน

สำหรับผู้ที่ตรวจด้วยการส่องกล้องลำไส้ใหญ่และทวารหนัก คุณหมอจะทำนัดหมายเพื่อเข้ารับการส่องกล้องอีกครั้ง เนื่องจากต้องเพิ่มขั้นตอนของการเตรียมลำไส้ที่มีคุณภาพล่วงหน้าก่อนถึงวันนัดส่องกล้อง เพราะลำไส้ที่สะอาดจะช่วยให้แพทย์มองเห็นพยาธิสภาพ ติ่งเนื้อ หรือแผลอื่น ๆ ได้ชัดเจนขึ้น โดยแพทย์จะแจ้งให้ผู้เข้ารับการตรวจรับประทานอาหารย่อยง่าย ไม่มีกากใย เช่น ข้าวต้ม ซุป น้ำเต้าหู้ งดทานผักผลไม้ทุกชนิด และผู้เข้ารับการตรวจบางรายจะได้รับยาระบายให้ดื่มเพิ่มเติมก่อนนอน

4. ตรวจสัญญาณชีพพื้นฐาน โดยพยาบาลวิชาชีพ

ตรวจสัญญาณชีพพื้นฐานก่อนเข้ารับการส่องกล้อง

เมื่อถึงวันนัดหมายส่องกล้อง พยาบาลจะทำการตรวจสัญญาณชีพเบื้องต้น ได้แก่ ตรวจวัดสัญญาณชีพ วัดความดัน วัดไข้ และวัดออกซิเจนในเลือด

เช็กความพร้อมของร่างกายก่อนส่องกล้องระบบทางเดินอาหาร

5. เตรียมลำไส้ก่อนส่องกล้องระบบทางเดินอาหาร

ห้องเตรียมลำไส้สำหรับผู้ใช้วีลแชร์ กว้างขวาง และปลอดภัย

โซนสำหรับเตรียมลำไส้ก่อนส่องกล้อง ตั้งอยู่ด้านในของศูนย์ทางเดินอาหารและตับ ในโซนนี้จะมีห้องเตรียมลำไส้แบบส่วนตัวตั้งอยู่หลายห้อง มีหลายขนาด แต่ละห้องมีสิ่งอำนวยความสะดวกที่จำเป็นต่อการเตรียมลำไส้ครบถ้วน

ห้องเตรียมลำไส้ที่ใช้รีวิวในวันนี้ เป็นห้องส่วนตัวขนาดกะทัดรัด มีห้องน้ำในตัว โซฟานั่งสบาย สามารถเอนหลังนั่งดูซีรีส์เรื่องโปรดระหว่างรอขับถ่ายจนกว่าลำไส้จะสะอาดได้ด้วย

ดื่มยาระบายช่วยให้การเตรียมลำไส้มีคุณภาพมากที่สุด

หลังจากเปลี่ยนไปสวมชุดของโรงพยาบาล และเก็บของมีค่าไว้ในล็อกเกอร์เรียบร้อยแล้ว จะได้รับยาระบายผสมน้ำ จำนวน 2 ขวดใหญ่ ๆให้รับประทานเป็นระยะๆจนหมด โดยพยาบาลจะแนะนำวิธีสังเกตลักษณะ และให้คู่มือดูสีของอุจจาระที่ขับถ่ายออกมาในแต่ละครั้งว่ามีความใส หรือลำไส้สะอาดตามมาตรฐานแล้วหรือไม่

ขั้นตอนการเตรียมลำไส้จะใช้เวลาอย่างน้อย 2 - 3 ชั่วโมง เร็วหรือช้าจะขึ้นอยู่กับความพร้อมของลำไส้ในแต่ละคน โดยตลอดขั้นตอนนี้จะมีพยาบาลคอยดูแล และให้คำแนะนำอยู่บริเวณเคาน์เตอร์ใกล้ ๆ ห้องเตรียมลำไส้ตลอดเวลา

6. เตรียมเปิดเส้น และดมยาสลบ (สำหรับการส่องกล้องลำไส้ใหญ่)

เมื่อลำไส้สะอาดหมดจด ได้คุณภาพตามมาตรฐานแล้ว เราจะย้ายเข้ามาเตรียมตัวสำหรับการส่องกล้องภายในห้องพักรอด้านใน

วิสัญญีแพทย์แนะนำขั้นตอนการให้ยาสลบ

สำหรับการส่องกล้องลำไส้ใหญ่ที่มีการให้ยาสลบ จะมีวิสัญญีแพทย์เข้ามาอธิบายขั้นตอนการให้ยาสลบ คอยดูแลอย่างใกล้ชิดตลอดการส่องกล้องไปจนกว่าเราจะฟื้นและรู้สึกตัวตามปกติ

7. ส่องกล้องระบบทางเดินอาหารโดยแพทย์เฉพาะทาง

ห้องส่องกล้องระบบทางเดินอาหาร

การส่องกล้องระบบทางเดินอาหาร ที่โรงพยาบาลเมดพาร์คให้บริการ มี 3 รูปแบบ คือ

  • การส่องกล้องกระเพาะอาหาร เป็นการนำกล้องเอนโดสโคปใส่เข้าไปผ่านทางช่องปาก แพทย์จะมองเห็นลักษณะทางกายภาพของหลอดอาหาร กระเพาะอาหาร และลำไส้เล็กส่วนต้นได้อย่างชัดเจน ใช้เวลาในการส่องกล้องประมาณ 30 นาที

การส่องกล้องลำไส้ใหญ่และทวารหนัก โดยแพทย์เฉพาะทาง

  • การส่องกล้องลำไส้ใหญ่และทวารหนัก การส่องกล้องวิธีนี้จะมีการใช้ยาสลบ เพื่อสอดกล้องเข้าไปทางทวารหนัก และตรวจสอบลำไส้ใหญ่ทั้งหมดว่ามีติ่งเนื้อที่เป็นอันตรายหรือไม่ โดยจะใช้เวลาในการส่องกล้องประมาณ 45 นาที
  • การส่องกล้องกระเพาะอาหาร และการส่องกล้องลำไส้ใหญ่ เป็นการตรวจที่สามารถคัดกรองมะเร็งในระบบทางเดินอาหารได้ครอบคลุมมากที่สุด โดยจะใช้เวลาในการส่องกล้องทั้งหมดประมาณ 1 ชั่วโมง

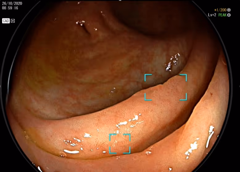
ตัวอย่างการส่องกล้องด้วย DEEP GI ที่มีเทคโนโลยี AI ช่วยแพทย์ตรวจจับและแจ้งเตือนเมื่อพบติ่งเนื้อที่เป็นอันตราย

สำหรับการส่องกล้องลำไส้ใหญ่ ศูนย์ทางเดินอาหารและตับ โรงพยาบาลเมดพาร์ค ได้มีการนำนวัตกรรมที่ชื่อว่า DEEP GI มาเป็นผู้ช่วยแพทย์ในการวิเคราะห์และแจ้งเตือนเมื่อพบติ่งเนื้ออันตรายในขณะทำการส่องกล้องได้แบบเรียลไทม์ มีความแม่นยำสูงถึง 90% ถือเป็นเทคโนโลยีระบบปัญญาประดิษฐ์ (AI) ที่ช่วยคัดกรองโรคมะเร็งลำไส้ใหญ่ได้อย่างมีประสิทธิภาพ

8. พักฟื้น และรอฟังผล

ห้องรอพักฟื้นหลังจากส่องกล้องเสร็จเรียบร้อย

สำหรับการส่องกล้องลำไส้ใหญ่ จะมีการใช้ยาสลบเพื่อให้สามารถส่องกล้องได้อย่างมีประสิทธิภาพ หลังจากส่องกล้องเสร็จเรียบร้อยแล้ว ผู้เข้ารับการตรวจจะถูกย้ายมานอนพักเพื่อรอฟื้นตัวจากยาสลบภายในห้องพักฟื้น โดยอยู่ภายใต้การดูแลอย่างใกล้ชิดของวิสัญญีแพทย์และพยาบาลวิชาชีพ ใช้เวลาประมาณ 1 - 2 ชั่วโมง ก็จะฟื้นตัว และสามารถเปลี่ยนชุดเพื่อเข้าฟังรับผลตรวจกับคุณหมอได้แล้ว

9.แจ้งผลตรวจสุขภาพระบบทางเดินอาหาร โดยแพทย์

แจ้งผลตรวจโดยแพทย์เฉพาะทางด้านการส่องกล้องระบบทางเดินอาหาร

คุณหมอจะแจ้งผลการส่องกล้องให้ทราบโดยละเอียด หากไม่พบสัญญาณผิดปกติสามารถรับผลตรวจ และเดินทางกลับบ้านได้เลย 

กรณีที่ตรวจพบติ่งเนื้อหรือสัญญาณผิดปกติอื่น ๆ คุณหมอจะนัดตรวจเพิ่มเติมอย่างละเอียดอีกครั้ง เพื่อหาสาเหตุการผิดปกติเพื่อให้ได้รับการรักษาอย่างเหมาะสมโดยเร็วที่สุด ซึ่งการได้รับการรักษาที่เหมาะสมในทันทีจะช่วยลดความเสี่ยงในการเจ็บป่วยด้วยโรคร้ายแรงได้อย่างมีประสิทธิภาพ


ส่องกล้องระบบทางเดินอาหาร คืออะไร?

Gastrointestinal Endoscopy - การส่องกล้องระบบทางเดินอาหาร

การส่องกล้องระบบทางเดินอาหาร เป็นการตรวจวินิจฉัยระบบทางเดินอาหาร 2 ส่วน คือ

  • ระบบทางเดินอาหารส่วนบน ได้แก่ หลอดอาหาร กระเพาะอาหาร และลำไส้เล็กส่วนต้น 
  • ระบบทางเดินอาหารส่วนปลาย ได้แก่ ลำไส้ใหญ่ และทวารหนัก

การตรวจระบบทางเดินอาหารด้วยการส่องกล้อง แพทย์จะตรวจด้วยการใส่กล้องเอนโดสโคป (Endoscope) ที่มีลักษณะเป็นท่อขนาดเล็ก มีความยืดหยุ่น โค้งงอได้ตามกายภาพ ใส่ไปในทางเดินอาหาร หรือลำไส้ใหญ่ ส่วนปลายกล้องมีหลอดไฟ ช่วยให้สามารถมองเห็นลักษณะทางกายภาพของอวัยวะต่าง ๆ ได้ชัดเจนระดับ 4K ทำให้สามารถตรวจหาความผิดปกติต่าง ๆ เช่น ติ่งเนื้อ แผลในกระเพาะอาหาร จุดเลือดออกต่าง ๆ ได้ละเอียด นอกจากนี้ ตัวกล้องยังเชื่อมต่อกับซอฟต์แวร์ซึ่งเป็นระบบปัญญาประดิษฐ์ (AI) ช่วยตรวจจับและแจ้งเตือน เมื่อตรวจพบติ่งเนื้อที่มีความผิดปกติได้ทันที มีความแม่นยำสูงถึง 90%

ส่องกล้องกระเพาะอาหาร และ ส่องกล้องลำไส้ใหญ่ สำคัญอย่างไร?

การส่องกล้องระบบทางเดินอาหาร ได้แก่ หลอดอาหาร กระเพาะอาหาร ลำไส้เล็กส่วนต้น ลำไส้ใหญ่ และทวารหนัก ช่วยคัดกรองโรคมะเร็งกระเพาะอาหาร และมะเร็งลำไส้ใหญ่ได้อย่างมีประสิทธิภาพ รวมทั้งยังสามารถตรวจหาความผิดปกติอื่น ๆ เช่น กระเพาะอาหารอักเสบ แผลในกระเพาะอาหาร การติดเชื้อแบคทีเรีย H. pylori ในกระเพาะอาหาร จุดเลือดออกในลำไส้ แผลในลำไส้ใหญ่ ได้ละเอียดยิ่งขึ้น

ใครควรเข้ารับการส่องกล้องกระเพาะอาหารและลำไส้ใหญ่?

  • ผู้ที่มีอายุ 45 - 50 ปีขึ้นไป ควรตรวจทุก ๆ 5 ปี โดยไม่จำเป็นต้องรอให้มีอาการผิดปกติ
  • ผู้ที่มีประวัติคนในครอบครัวป่วยด้วยโรคมะเร็งระบบทางเดินอาหาร หรือมีประวัติตรวจพบติ่งเนื้อในกระเพาะอาหาร หรือลำไส้ใหญ่

สัญญาณผิดปกติ ที่ควรเข้ารับการส่องกล้องตรวจระบบทางเดินอาหาร?

หากพบว่าตนเอง หรือบุคคลใกล้ชิดมีอาการผิดปกติในระบบทางเดินอาหาร เช่น เบื่ออาหาร กลืนลำบาก แสบร้อนหน้าอก ปวดท้องโดยไม่ทราบสาเหตุ ท้องอืดบ่อย ท้องผูกสลับท้องเสียเป็นประจำ อาเจียนปนเลือด อุจจาระปนเลือด ควรเข้ารับคำปรึกษาจากแพทย์เฉพาะทาง เพื่อตรวจวินิจฉัยและรับการรักษาที่เหมาะสมได้อย่างทันท่วงที

ส่องกล้องกระเพาะอาหาร และส่องกล้องลำไส้ใหญ่ ที่ไหนดี?

สำหรับผู้ที่สนใจตรวจคัดกรองมะเร็งในระบบทางเดินอาหารด้วยการส่องกล้อง สามารถพิจารณาเลือกสถานที่ตรวจคัดกรอง จากองค์ประกอบสำคัญ ดังนี้

  • ตรวจและส่องกล้องโดยแพทย์เฉพาะทางด้านการส่องกล้องระบบทางเดินอาหาร ที่มีประสบการณ์และความชำนาญในการส่องกล้อง โดยมีอัตราความสำเร็จในการนำกล้องเข้าไปในร่างกายได้สุดระยะลำไส้ใหญ่สูงกว่า 95% และมีอัตราการตรวจพบติ่งเนื้อในกระเพาะหรือลำไส้ใหญ่ได้สูงกว่า 25%
  • มีกล้องที่มีความคมชัด เป็นเทคโนโลยีรุ่นใหม่ ทำงานร่วมกับนวัตกรรม AI ซึ่งเข้ามาทำหน้าที่เพิ่มคุณภาพในการส่องกล้องของแพทย์ ช่วยตรวจจับและวิเคราะห์ติ่งเนื้อได้อย่างแม่นยำ
  • มีวิสัญญีแพทย์คอยดูแลอย่างใกล้ชิดในขั้นตอนการส่องกล้องระบบทางเดินอาหารที่มีการใช้ยานอนหลับ
  • ดูแลและให้คำแนะนำในทุกขั้นตอนของการตรวจคัดกรองด้วยการส่องกล้องระบบทางเดินอาหารโดยพยาบาลวิชาชีพ ที่มีความละเอียดรอบคอบ มีความเข้าใจ และให้ความสำคัญในการเตรียมลำไส้อย่างมีคุณภาพ
  • มีห้องเตรียมลำไส้ที่มีความสะอาด เป็นส่วนตัว บรรยากาศผ่อนคลาย ครบครันด้วยสิ่งอำนวยความสะดวกที่จำเป็นต่อการเตรียมลำไส้ มีพยาบาลวิชาชีพและเจ้าหน้าที่คอยให้ความช่วยเหลือในทุกขั้นตอนด้วยความใส่ใจ
  • หากตรวจพบความผิดปกติ ควรมีทีมแพทย์เฉพาะทางฯ และสหวิชาชีพสาขาที่เกี่ยวข้อง ให้การดูแลอย่างต่อเนื่อง เพื่อให้ผู้เข้ารับบริการได้รับการรักษาที่เหมาะสมกับตัวโรคด้วยความรวดเร็ว และมีคุณภาพชีวิตที่ดีตลอดกระบวนการรักษา

แพทย์เฉพาะทางด้านการส่องกล้องระบบทางเดินอาหาร โรงพยาบาลเมดพาร์ค

แพ็กเกจส่องกล้องระบบทางเดินอาหาร ที่เมดพาร์ค ตรวจอะไรบ้าง?

การส่องกล้องระบบทางเดินอาหารของเมดพาร์ค ดูแลโดยแพทย์ผู้ชำนาญการเฉพาะทางด้านการส่องกล้องระบบทางเดินอาหาร มีประสบการณ์ในการส่องกล้องกระเพาะและลำไส้ใหญ่ มีการนำนวัตกรรม DEEP GI เข้ามาเป็นผู้ช่วยแพทย์ในการตรวจจับและคัดกรองติ่งเนื้อที่มีความผิดปกติ ซึ่งมีความแม่นยำถึง 90%

หากตรวจพบความผิดปกติใด ๆ สามารถตัดติ่งเนื้อออกหรือส่งชิ้นเนื้อตรวจเพิ่มเติมในห้องปฏิบัติการทางการแพทย์อย่างละเอียด และสามารถส่งตัวเข้ารับการรักษาต่อเนื่องกับแพทย์เฉพาะทางฯ และสหวิชาชีพสาขาต่าง ๆ ที่เกี่ยวข้องได้ทันที เพื่อให้ผู้ป่วยได้รับการรักษาที่เหมาะสม และสามารถกลับมาใช้ชีวิตตามปกติได้อย่างมีคุณภาพมากที่สุด

แพ็กเกจส่องกล้องระบบทางเดินอาหาร ที่เมดพาร์ค มีให้เลือก 3 แบบ ได้แก่

เพื่อความสะดวกในการใช้บริการ แนะนำให้นัดหมายล่วงหน้า โดยติดต่อ ศูนย์ทางเดินอาหารและตับ ชั้น 7 เคาน์เตอร์ A โรงพยาบาลเมดพาร์ค เวลา 08.00 – 20.00 น. โทร. 02-023-3333 หรือทำนัดหมายด้วยตนเองผ่านแอปพลิเคชัน My MedPark (ดาวน์โหลด คลิกเลย)

แพ็กเกจที่เกี่ยวข้อง

บทความโดย

เผยแพร่เมื่อ: 21 ม.ค. 2025

แชร์

แพทย์ที่เกี่ยวข้อง

  • Link to doctor
    ศ.นพ.  สิน  อนุราษฎร์

    ศ.นพ. สิน อนุราษฎร์

    • อายุรศาสตร์โรคระบบทางเดินอาหารและตับ
    โรคตับและโรคระบบทางเดินอาหารทั่วไป
  • Link to doctor
    พญ.  ปณิดา  ปิยะจตุรวัฒน์

    พญ. ปณิดา ปิยะจตุรวัฒน์

    • อายุรศาสตร์โรคระบบทางเดินอาหารและตับ
    ส่องกล้องกระเพาะอาหารและลำไส้ใหญ่, โรคตับและโรคระบบทางเดินอาหารทั่วไป, ปวดท้องเรื้อรังและเฉียบพลัน, โรคท้องผูกเรื้อรัง, โรคท้องร่วงเรื้อรังและเฉียบพลัน, ส่องกล้องรักษาระบบท่อทางเดินน้ำดีและตับอ่อน, โรคลำไส้อักเสบ, โรคลำไส้แปรปรวน, ตรวจคัดกรองมะเร็งลำไส้ใหญ่และทวารหนัก, ส่องกล้องตรวจอัลตราซาวด์ในลำไส้, ภาวะเลือดออกในทางเดินอาหาร, ภาวะค่าตับที่ผิดปกติ, โรคไวรัสตับอักเสบ, ภาวะไขมันเกาะตับ, ส่องกล้องลำไส้เล็ก, ตรวจไขมันพอกตับด้วยไฟโบรสแกน
  • Link to doctor
    พญ. เพ็ญประไพ หงษ์ศรีสุวรรณ์

    พญ. เพ็ญประไพ หงษ์ศรีสุวรรณ์

    • อายุรศาสตร์โรคระบบทางเดินอาหารและตับ
    โรคตับและโรคระบบทางเดินอาหารทั่วไป, ส่องกล้องกระเพาะอาหารและลำไส้ใหญ่, ตรวจคัดกรองมะเร็งลำไส้ใหญ่และทวารหนัก, โรคกรดไหลย้อน, โรคลำไส้แปรปรวน, ปวดท้องเรื้อรังและเฉียบพลัน, ภาวะเลือดออกในทางเดินอาหาร, โรคริดสีดวงทวาร, โรคไวรัสตับอักเสบ, ภาวะค่าตับที่ผิดปกติ, ภาวะตับแข็ง, โรคไขมันพอกตับ
  • Link to doctor
    รศ.นพ. สว่างพงษ์ จันดี

    รศ.นพ. สว่างพงษ์ จันดี

    • อายุรศาสตร์โรคระบบทางเดินอาหารและตับ
    โรคตับและโรคระบบทางเดินอาหารทั่วไป
  • Link to doctor
    นพ. ยืนยง เจียงวิริชัยกูร

    นพ. ยืนยง เจียงวิริชัยกูร

    • อายุรศาสตร์โรคระบบทางเดินอาหารและตับ
    โรคระบบทางเดินอาหารทั่วไป, ตรวจคัดกรองมะเร็งลำไส้ใหญ่และทวารหนัก, ส่องกล้องรักษาระบบท่อทางเดินน้ำดีและตับอ่อน, โรคตับโต, โรคดีซ่าน, ภาวะตับแข็ง
  • Link to doctor
    ผศ.นพ. สยาม ศิรินธรปัญญา

    ผศ.นพ. สยาม ศิรินธรปัญญา

    • อายุรศาสตร์โรคระบบทางเดินอาหารและตับ
    โรคตับและโรคระบบทางเดินอาหารทั่วไป
  • Link to doctor
    รศ.นพ. สถาพร มานัสสถิตย์

    รศ.นพ. สถาพร มานัสสถิตย์

    • อายุรศาสตร์โรคระบบทางเดินอาหารและตับ
    โรคตับและโรคระบบทางเดินอาหารทั่วไป, การติดเชื้อทางเดินอาหาร, ปวดท้องเรื้อรังและเฉียบพลัน, โรคท้องผูกเรื้อรัง, โรคท้องร่วงเรื้อรังและเฉียบพลัน, โรคท้องร่วง, โรคไวรัสตับอักเสบ, ภาวะลําไส้ดูดซึมผิดปกติ, เนื้องอกและก้อนเนื้อในตับ, ภาวะค่าตับที่ผิดปกติ, โรคริดสีดวงทวาร, โรคลำไส้อักเสบ, โรคลำไส้แปรปรวน, ภาวะกลืนลำบาก ปัญหาเกี่ยวกับการกลืน
  • Link to doctor
    รศ.พญ. ชลธิชา เอื้อสมหวัง

    รศ.พญ. ชลธิชา เอื้อสมหวัง

    • อายุรศาสตร์โรคระบบทางเดินอาหารและตับ
    โรคตับและโรคระบบทางเดินอาหารทั่วไป
  • Link to doctor
    รศ.นพ.ม.ล. ทยา กิติยากร

    รศ.นพ.ม.ล. ทยา กิติยากร

    • อายุรศาสตร์โรคระบบทางเดินอาหารและตับ
    โรคระบบทางเดินอาหารทั่วไป, ตรวจคัดกรองมะเร็งลำไส้ใหญ่และทวารหนัก, ตรวจหาเชื้อแบคทีเรียในกระเพาะอาหาร, ปวดท้องเรื้อรังและเฉียบพลัน, โรคลำไส้อักเสบ, โรคลำไส้แปรปรวน, ส่องกล้องตรวจอัลตราซาวด์ในลำไส้, โรคท้องร่วง, โรคท้องร่วงเรื้อรังและเฉียบพลัน, ส่องกล้องรักษาระบบท่อทางเดินน้ำดีและตับอ่อน, โรคท้องผูกเรื้อรัง, ภาวะตรวจการทำงานของตับผิดปกติ
  • Link to doctor
    พญ. ธนินี ประสพโภคากร

    พญ. ธนินี ประสพโภคากร

    • อายุรศาสตร์โรคระบบทางเดินอาหารและตับ
    โรคตับและโรคระบบทางเดินอาหารทั่วไป
  • Link to doctor
    นพ. สุขวิช ทองศรี

    นพ. สุขวิช ทองศรี

    • อายุรศาสตร์โรคระบบทางเดินอาหารและตับ
    โรคตับและโรคระบบทางเดินอาหารทั่วไป
  • Link to doctor
    นพ. สันติ  กุลพัชรพงศ์

    นพ. สันติ กุลพัชรพงศ์

    • อายุรศาสตร์โรคระบบทางเดินอาหารและตับ
    ส่องกล้องกระเพาะอาหารและลำไส้ใหญ่, โรคตับและโรคระบบทางเดินอาหารทั่วไป, ตรวจคัดกรองมะเร็งลำไส้ใหญ่และทวารหนัก, ภาวะค่าตับที่ผิดปกติ, ภาวะไขมันเกาะตับ, โรคตับอักเสบจากแอลกอฮอล์, โรคไวรัสตับอักเสบ, ส่องกล้องรักษาระบบท่อทางเดินน้ำดีและตับอ่อน, ภาวะเลือดออกในทางเดินอาหาร, ปวดท้องเรื้อรังและเฉียบพลัน, ตรวจไขมันพอกตับด้วยไฟโบรสแกน, รักษาก้อนและซีสต์และมะเร็งในตับ, โรคกรดไหลย้อน, ภาวะตับวาย, ภาวะตับแข็ง
  • Link to doctor
    พญ. วราภรณ์ ปัญจวงศ์

    พญ. วราภรณ์ ปัญจวงศ์

    • อายุรศาสตร์โรคระบบทางเดินอาหารและตับ
    โรคระบบทางเดินอาหารทั่วไป, ตรวจคัดกรองมะเร็งลำไส้ใหญ่และทวารหนัก, ส่องกล้องตรวจอัลตราซาวด์ในลำไส้, ส่องกล้องรักษาระบบท่อทางเดินน้ำดีและตับอ่อน, โรคกรดไหลย้อน
  • Link to doctor
    พญ. อุไรวรรณ สิมะพิเชฐ

    พญ. อุไรวรรณ สิมะพิเชฐ

    • อายุรศาสตร์โรคระบบทางเดินอาหารและตับ
    โรคตับและโรคระบบทางเดินอาหารทั่วไป
  • Link to doctor
    นพ. กิตติธัช ตันติธนวัฒน์

    นพ. กิตติธัช ตันติธนวัฒน์

    • อายุรศาสตร์โรคระบบทางเดินอาหารและตับ
    โรคตับและโรคระบบทางเดินอาหารทั่วไป, ความผิดปกติของตับอ่อนและทางเดินน้ำดี, มะเร็งตับอ่อน, ตับอ่อนอักเสบเรื้อรัง, ตับอ่อนอักเสบเฉียบพลัน, โรคไขมันพอกตับจากเมตาบอลิซึมผิดปกติ (MASLD), โรคอ้วนและภาวะน้ำหนักเกิน, ตรวจคัดกรองมะเร็งลำไส้ใหญ่และทวารหนัก, โรคกรดไหลย้อน, โรคกระเพาะอาหารอักเสบ, การตัดเนื้อเยื่อในลำไส้โดยการส่องกล้อง
  • Link to doctor
    พญ. สุรีย์พร  แจ้งศิริกุล

    พญ. สุรีย์พร แจ้งศิริกุล

    • อายุรศาสตร์โรคระบบทางเดินอาหารและตับ
    ส่องกล้องกระเพาะอาหารและลำไส้ใหญ่, โรคตับและโรคระบบทางเดินอาหารทั่วไป, ตรวจคัดกรองมะเร็งลำไส้ใหญ่และทวารหนัก, โรคกรดไหลย้อน, ปวดท้องเรื้อรังและเฉียบพลัน, ภาวะเลือดออกในทางเดินอาหาร, ภาวะค่าตับที่ผิดปกติ, การฝึกเบ่งขับถ่าย, ภาวะหลอดอาหารเคลื่อนไหวหรือบีบตัวผิดปกติ, ตรวจวัดความเป็นกรดด่างในหลอดอาหาร, ตรวจหาเชื้อแบคทีเรียในกระเพาะอาหาร, การวัดเวลาการย่อยอาหารในกระเพาะอาหาร, ตรวจการเคลื่อนผ่านของอุจจาระภายในลำไส้ใหญ่, ตรวจการเคลื่อนไหวระบบทางเดินอาหาร
  • Link to doctor
    นพ. ก่อพงศ์ หังสพฤกษ์

    นพ. ก่อพงศ์ หังสพฤกษ์

    • อายุรศาสตร์โรคระบบทางเดินอาหารและตับ
    โรคระบบทางเดินอาหารทั่วไป, ตรวจคัดกรองมะเร็งลำไส้ใหญ่และทวารหนัก, โรคท้องร่วง, โรคท้องร่วงเรื้อรังและเฉียบพลัน, ตรวจหาเชื้อแบคทีเรียในกระเพาะอาหาร, ภาวะกลืนลำบาก ปัญหาเกี่ยวกับการกลืน, โรคกรดไหลย้อน, โรคท้องผูกเรื้อรัง, ภาวะอาหารไม่ย่อย, การขับถ่ายเปลี่ยนแปลงผิดปกติ